Discover Your Path to a Healthier Smile
Gentle and Natural Dental Cleanings at Our Holistic Practice
At Smile To Win, we integrate advanced dental practices with a holistic approach to enhance your overall well-being.
Our Commitment to Your Well-Being
At our holistic dental practice, we focus on gentle, natural approaches to oral health that respect your body’s overall well-being. We understand that many patients, like you, are looking for treatments that are as kind and non-invasive as possible. While we do use some advanced tools for effective cleaning, our methods are designed to be gentle and adapted to your needs. We avoid harsh techniques whenever we can. If you’re seeking options without traditional mechanical scraping, we offer alternatives like air polishing (explained below) that can minimize or replace mechanical methods for a more natural feel. Let’s walk through our cleaning procedures, options, and how we handle things like fluoride.
Our Cleaning Methods: Gentle and Effective Tools
We tailor every cleaning to your individual situation, using tools that remove plaque and tartar (biofilm) without causing unnecessary harm to your teeth or gums. Here’s what we use:
Ultrasonic Scalers (from the Swiss brand EMS)
-

- Ultrasonic Scalers: These devices use high-frequency sound waves to create tiny vibrations in water, which gently break up and remove buildup on your teeth. The tips are customized to fit your teeth’s shape and sensitivity.
- Pros: They’re fast, efficient, and less invasive than manual tools because they don’t require as much pressure. They can reach deep areas without scratching the tooth surface much, and the water flow helps flush away debris while cooling the area to reduce discomfort.
- Cons: The vibrations might feel buzzy or tingly for some people, and in rare cases, they could cause minor sensitivity if your gums are already inflamed. We adjust the power level to make it as comfortable as possible.
Sonic Scalers (from the brand NSK)
Sonic Scalers (from the brand NSK): Similar to ultrasonic but at a lower frequency, these use air pressure to create gentle oscillations (back-and-forth movements) to clean teeth. We choose different tips based on your needs, like for sensitive areas or deeper pockets.- Pros: They’re even gentler on gums than ultrasonic scalers, with smoother movements that feel more like a soft massage. They’re great for patients who want a less intense experience and are effective at removing light buildup.
- Cons: They might take a bit longer for heavier tartar, and the air pressure could feel airy or spray-like, which some find mildly uncomfortable. They’re not as powerful for very deep cleanings.
Manual Scaling with Hand Curettes

- Manual Scaling with Hand Curettes: We rarely use these sharp, hand-held tools, and only after ultrasonic or sonic scaling if needed for fine-tuning. They involve scraping by hand to remove stubborn spots.
- Pros: They give precise control in hard-to-reach areas and can be very effective for detailed work.
- Cons: Because they’re sharp, they can remove a small amount of the tooth’s protective root cement layer if overused, which might lead to sensitivity or minor damage over time. That’s why we limit them—they’re not our first choice for a natural approach.
For patients who prefer the least mechanical intervention, we prioritize sonic or ultrasonic methods first, as they’re less hands-on and more vibration-based.
If you’d like to avoid mechanical tools altogether, we can discuss purely airflow-based options or other natural strategies during your visit.
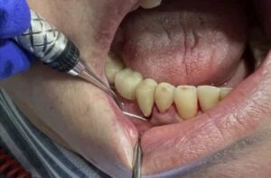
Air Polishing with Glycine Powder: A Natural Blasting Method
We use the EMS Airflow system for gentle polishing above and below the gum line. This involves blasting a fine glycine powder (a natural amino acid) mixed with water and air to remove stains, plaque, and biofilm. For areas just at or above the gums (supragingival), we use a standard nozzle. For deeper gum pockets (subgingival), we switch to thinner nozzles with even finer glycine powder to reach without irritation.
This method is one of our favorites for a natural feel—it’s like a gentle spray that buffs your teeth clean without scraping. It’s especially good for sensitive teeth because glycine is milder than traditional polishing abrasives. Pros include quick results, a smooth finish, and less risk of enamel wear. The main con is a temporary powdery taste, but it rinses away easily.
![]() |
![]() |
Assessing Your Oral Health with Plaque Disclosing
Before any cleaning, we use a safe, natural plaque-disclosing solution (a dye that highlights biofilm). This helps us see where buildup is hiding, evaluate your at-home brushing habits, and check your motivation for better hygiene. It guides us to target only the areas that need attention, making the cleaning more precise and less invasive. This step empowers you too—you can see the results and learn how to improve your daily routine for healthier teeth between visits.

Our Approach to Fluoride: Informed Choices for Your HealthOne big concern is fluoride’s possible impact on the pineal gland, a small part of the brain that helps regulate sleep by producing melatonin. Some studies suggest fluoride can build up in this gland because it attracts calcium, leading to calcification (hardening with calcium deposits). This buildup might reduce melatonin levels and affect sleep quality, mood, focus, and even deeper cognitive functions—things like intuition, mental clarity, creativity, and what some people call “multidimensional cognition” (the ability to process information beyond everyday logic, such as heightened awareness, pattern recognition, or subtle perception).
|
|
|
|
In holistic and spiritual communities, the pineal gland is often linked to mediumship (the ability to sense or connect with non-physical energies or insights). When calcified, some believe it may dull this sensitivity, making it harder to access inner guidance, dreams, or intuitive states. While mainstream science focuses more on sleep and hormonal effects, many patients report feeling “clearer-headed” and more in tune after reducing fluoride exposure—especially those who value mental sharpness, spiritual awareness, or creative flow. |
The evidence isn’t fully conclusive—calcification also happens naturally with age—but for those exploring holistic wellness, avoiding unnecessary fluoride is a simple step toward protecting both body and mind.
A Better Alternative: Hydroxyapatite Nano Powder for RemineralizationInstead of fluoride, we recommend hydroxyapatite nano powder as a safe, natural way to strengthen and remineralize teeth. Hydroxyapatite is the main mineral that makes up your tooth enamel and dentin—it’s what your body naturally uses to build strong teeth. In nano form (tiny particles), it works by filling in microscopic cracks and pores in the enamel, smoothing the surface and making it harder for bacteria to stick. Studies show nano-hydroxyapatite is just as effective as fluoride for remineralizing early cavities and preventing new ones. For example, research comparing hydroxyapatite toothpastes to fluoride ones found similar results in reducing sensitivity and rebuilding enamel, but without fluoride’s risks. It’s gentle, non-toxic (even if swallowed), and doesn’t cause fluorosis.
We steer clear of fluoride toothpastes for these reasons and suggest hydroxyapatite-based ones instead—they’re great for daily use and align with our holistic philosophy. Patients often report less sensitivity and a naturally whiter smile after switching.
|
![]() |
Why Regular Professional Cleanings Matter
Professional dental cleanings are key to keeping your mouth healthy and preventing bigger problems like gum disease or cavities. We recommend them every 6 months on average, but we customize based on your needs.
If you have periodontal (gum) issues, like deep pockets or inflammation, we might suggest every 3 months to stay on top of it. On the other hand, if you have great gum health and no recurring cavities, we can space them out to once a year.
These visits aren’t just about cleaning—they help us catch issues early, guide your home care, and keep everything natural and balanced.
How Much Does a Dental Cleaning Cost at Our Holistic Practice?
You’re probably wondering: “What will this actually cost me?”In Switzerland, dental fees are based on 5-minute time slots — not flat rates. The price depends on who performs the cleaning and how complex your mouth is. Here’s how it works in our practice — explained clearly, so you know exactly what to expect.
Why We Charge by Time (Not by “One Price Fits All”)
Every mouth is unique.- You might have 28 large, crowded teeth with tartar in hard-to-reach spots → takes longer.- Or fewer, smaller, cleaner teeth → takes less time.
That’s why we don’t have a fixed price. After your first visit, we’ll know your exact needs and can give you a precise estimate for future cleanings.
Who Does Your Cleaning? (And Why It Matters)
You get the dentist — not an assistant
That means:- Deeper, safer cleaning under the gums (where gum disease starts)- Real-time diagnosis of hidden issues (cavities, jaw misalignment, sleep apnea risk, etc.)- Holistic advice tailored to your whole-body health
Yes, it’s slightly more expensive than a hygienist — but far more complete.
Your Likely Cost for a Regular Cleaning
The likely cost for a regular dental cleaning with our high standards of quality and holistic approaches is as follows:
| Your situation | Estimated cost |
| Standard maintenance (6-12 months, healthy gums) | ∼198 CHF |
| More plaque/tartar, larger teeth, full mouth | 220-280 CHF |
| Fewer teeth, very clean, easy access | ∼160-190 CHF |
Please note that these prices are only an estimate. The exact price can only be determined after an evaluation by our dentist.
After your first cleaning, we’ll know your “dental profile” and quote exact future costs.
Checkups & Diagnostics (Add-Ons)
| Service | Estimated Cost |
| Recall checkup (within 12 months) | +49 CHF |
|
First-time checkup (new patient) |
88 CHF |
|
Intraoral X-ray (per image) |
23 CHF |
|
Gum pocket measurement, jaw function, sleep apnea screening, etc. |
Billed per 5-min slot |
Why Some Cleanings Abroad Fall Short
We often see patients who had “cheap” cleanings in other countries.At first glance, it looked fine — but under the gums? Missed. Result:- Hidden tartar → gum inflammation → early periodontal disease. Avoidable damage that now needs expensive treatment.
A thorough cleaning prevents this. You’re not just paying for shiny teeth — you’re protecting your long-term health.
Extra Time = Informed Choices (Not Upselling)
If we spot something — a cavity, receding gums, jaw pain, sleep apnea risk — we explain everything:
– ✅ Pros & cons of each option
– ✅ Natural vs. conventional paths
– ✅ Costs, timelines, outcomes
This consultation time is billed per 5 minutes — because your understanding matters more than our speed.
Our Philosophy: Primum Non Nocere — First, Do No Harm
We are: Minimally invasive – Thorough, not salesy – Holistic — we look at your sleep, stress, diet, and spirit
That’s why we attract open-minded, health-conscious patients like you — people who: Value quality over the lowest price – Want personalized care, not a conveyor-belt cleaning- Trust a dentist who treats you, not just your teeth.
Ready for a Cleaning That’s Truly Yours?
Book your first session. Afterward, you’ll know:- Exactly how long your cleanings take- Exactly what they cost- Exactly how healthy your mouth really is.
No surprises. Just clarity, care, and confidence.
Book now, send us an email to [email protected] or call us on +41 444 222 131 for details.
We can’t wait to meet you!

Comprehensive Holistic Dental Services
Holistic Dental Check-Ups
Our thorough check-ups not only assess your dental health but also consider your overall well-being, identifying potential issues that could affect your entire body.
Natural Teeth Whitening
Brighten your smile with our safe and effective natural whitening treatments, designed to enhance your appearance without compromising your dental health.
Biocompatible Restorations
We use biocompatible materials for fillings and crowns, ensuring that our restorative procedures support your body’s natural healing processes.
Meet Our Dedicated Dentist Luis Cuesta

Med. Dent. Luis Cuesta
Chief Dentist
Our dentist Luis Cuesta is a highly experienced professional and committed to providing comprehensive and compassionate dental care.
He believes in treating the whole person, not just the teeth.
Luis Cuesta has practiced high-quality dentistry for over two decades and is a renowned specialist in reconstructive, cosmetic, and implant dentistry.
Highly regarded by professional peers and patients alike, he provides cutting-edge treatment modalities to help his patients attain long-term, stable oral health. Luis Cuesta has successfully treated thousands of patients from all walks of life.
With many years of experience using Invisalign aligners, a breakthrough technology used to straighten or adjust teeth without the need for traditional metal braces, bands, and wires, Luis Cuesta is able to obtain great looking results for his patients.
In addition to his dental practice, Luis Cuesta gives in-person and online digital dentistry learning programs. Clients include other dentists and dental equipment manufacturers. He lectures on ceramics, occlusion, and digital dentistry, and performs live patient demonstrations for dentist audiences.
In his free time he enjoys sailing, playing football, tennis and pickleball. He is a sponsor of the Seefeld football team.
Schedule Your Visit Today
Discover the benefits of holistic dental care at Smile To Win. Contact us now to learn how our personalized approach can enhance your overall well-being. Our team is ready to assist you in achieving a healthier, happier smile. Don’t wait—take the first step towards a brighter future today!







